入れ歯でご飯が噛めず、下の歯も限界が近づいてきてるので、きちんと治したいとご相談に来られました。
昔から間食が多かったようで、虫歯治療のため小さい時から歯医者さんに通っていたという事でした。
目次
下顎の総入れ歯をインプラントとコーヌステレスコープで固定を行った症例
入れ歯が安定しにくい下顎を、コーヌス冠とインプラントを用いて、総入れ歯を固定する治療を行なっていくことになりました
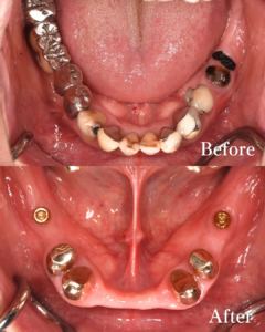
治療前
治療前の状態です。元々、上顎は総入れ歯を使用されており、歯が無い状態です。下顎は、長いブリッジがされていましたが、奥の支えの歯が虫歯でボロボロになっていたため、グラグラしていました。
また他の部位も差し歯が取れていたり、大きな虫歯があったりと、全体的に治療が必要で、とても安定してお食事噛むことは難しい状態でした。
治療途中(治療用総入れ歯)
上顎の不安定な総入れ歯、下顎の歯も揺れ動きが大きく、長期間しっかりと食事を噛めていない期間が長いと、噛み合わせにズレが生じてしまいます。そして、そのズレた位置で日常的に噛むことで、悪い噛み癖(エングラム)がついてしまいます。
今回の治療は、一から全ての噛み合わせを再構築する必要があった為、その悪い噛み癖をリセットするために、フラットテーブルと言われる治療用の仮の総入れ歯を使用して、治療を行なっていきました。このフラットテーブルは、下顎の奥歯はスケートリンクの様に平らでツルツルに作られている為、どこでも安定して噛めるようにされています。どこでも均等にしっかり噛めるようになると、この悪い噛み癖がなくなり、顎も楽になってきて、本来一番噛みたい正しい位置に収束するようになってきます。
治療後(総入れ歯未装着時)
下顎も前歯には、左右2本づつのコーヌステレスコープと言われる特殊な留め具と、奥歯には、さらに総入れ歯を安定させる為にインプラントを左右1本づつ入れて、固定を行っています。
治療後(総入れ歯装着時)
上顎は、お費用や過去にされた金属床の総入れ歯に良い思い出がなかった為、治療用の仮の総入れ歯を最終の物として使用して頂くことになりました。
下顎は、コーヌステレスコープやインプラントなど特殊な留め具が装着されている為、強度や長持ち具合を考慮して、金属フレームを組み込んだ金属床総入れ歯で治療を行なっています。
コーヌステレスコープとは!?

先程から出ておりますコーヌステレスコープとは、茶筒の原理を使用した入れ歯の固定に役立つ装置のことを言います。お茶の葉が入ってる金属製の缶は、上の蓋だけ持っても落ちてきたりはしません。実は茶筒は、内部に空気が入らないようにかなり精密に作成されています。この原理を入れ歯に応用したのがコーヌステレスコープとなります。
コーヌステレスコープ総入れ歯
ご自身の天然の歯の上に茶筒の筒に該当する部分を被せて、総入れ歯の内面に茶筒の蓋に該当する部分を組み込む事によって、総入れ歯がパシっとはまり込み、簡単には外れなくなります。そして、コーヌステレスコープで前歯の方だけで固定してしまうと、総入れ歯は奥歯に沈み込みやすくなるため、インプラントを配置して、沈み込みを防ぎ、さらに総入れ歯の固定に役立てるように設計しています。
治療前後比較(正面)
上下ともに総入れ歯の安定が良くなり、しっかりと噛めるようになりました。また見た目も自然で、総入れ歯を使っているとは分からない綺麗な仕上がりになりました。
治療前後比較(下顎)

長期的に長持ちしない歯は、抜歯を行いましたが、それ以外のしっかりした歯はなるべく残して、総入れ歯の固定になるように配慮して治療を行なっております。
治療前後比較のレントゲン
治療前は、奥歯のブリッジの支えの歯が虫歯で溶けて完全に無くなってしまっていました。また根っこだけのような歯のカケラも見てとれると思います。
治療後は、長持ちする神経が生きている歯をメインに残して、かつ総入れ歯を最も効果的に固定ができるような配置の歯を優先的に残しています。また奥歯のインプラントも、噛む力を支える為に、直立して綺麗に配置されている状態です。
YouTube動画
最後に
治療期間は1年ちょっとかかりましたが、最後には良く噛めるようになり大変喜んで頂きました。お子様が留学されたり大変なタイミングではございましたが、「こんなに良くなるなら、もっと早く来ておけば良かったです…今は凄く快適で、違和感もなく、ご飯もめちゃくちゃ噛めるようになりました!」と仰って頂けました。
長い治療期間、本当にお疲れ様でした。
| 年代・性別 | 50代男性 |
| 主訴 | 入れ歯でご飯が噛めない、下の歯が限界 |
| 治療内容 | コーヌステレスコープ総入れ歯、インプラント併用 |
| 費用 | 精密金属床義歯1装置50万(下顎),義歯用インプラント1本25万×2本,ロケーター6万×2,コーヌステレスコープ18万×4本, |
| 期間 | 1.5年 |
| リスク・副作用 | インプラントもご自身のブラッシングを行わないと歯周病になります。天然の歯同様ブラッシングを行い定期的なメンテナンスが重要です。この義歯はご自身で着脱でき、インプラント周囲の清掃が非常に簡単な為、メンテナンスしやすい工夫もされております。 |
YASU DENTAL CLINIC
〒543-0074
大阪府大阪市天王寺区六万体町5ー18
大阪メトロ谷町線 四天王寺前夕陽ヶ丘駅3番出口直結
監修者情報

松井 泰隆 YASU DENTAL CLINIC 院長
東京歯科大学を卒業後、京都大学医学部附属病院で口腔外科を学び、その後審美歯科やインプラント治療を行う医療法人に勤務し分院長などを歴任。
総入れ歯でお困りの方は、是非一度ご相談下さい。
当院では初診時無料カウンセリングを行っております。

