-480x600.png)
今回は、関西で歯科衛生士として勤務されている20代女性の患者さまの症例をご紹介します。
患者さまは
「歯が短く見えること」
「笑ったときに歯ぐきが大きく見えること」
「骨のふくらみが目立つこと」
を気にされ、ご相談にお越しくださいました。
また、これまで虫歯などの経験がほとんどなく、今回の治療が“人生で初めての歯科麻酔”ということもあり、「麻酔が痛くないか」「どんな感覚なのか」と、とてもご不安を感じておられました。
臨床例
歯が短く見えるガミースマイルの状態
初診-480x600.png)
初診時は、前歯の長さが全体的に2〜3mmほど短く、笑うと歯ぐきが約6mm見えるガミースマイルの状態でした。
歯の形もやや四角く、「歯が小さく見える」「口元が幼い印象に見える」といった見た目の悩みにもつながっていました。
歯冠長延長術で、自然な歯の長さと輪郭へ
治療後-480x600.png)
今回行った治療は、歯冠長延長術(しかんちょうえんちょうじゅつ)です。歯冠長延長術は、歯ぐきと骨のバランスを整えることで、歯を2〜3mm程度、自然に長く見せることができる治療です。
当院では、単に歯を長くするだけではなく、
・歯ぐきのライン(歯肉ライン)の左右バランス
・歯と歯の境目の丸み
・笑ったときの調和
などを細かく調整し、より自然で審美的な仕上がりになるよう心がけています。
術後は、
「歯が自然な長さになった」
「歯の形がやわらかく見えるようになった」
と、ご本人にも変化を実感していただけました。
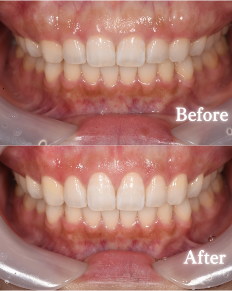
治療前後の比較(口元)


当院では、初回無料カウンセリング時にミリ単位で歯の長さをお伝えしておりますが、皆様実際に、どれくらい変化するのか心配される方もいらっしゃいます。歯冠長延長術で2〜3mm長くなると、お口元の雰囲気はガラっと変わりますので、イメージの参考にして頂けますと幸いです。
骨隆起(骨のふくらみ)も同時に除去
治療前後比較骨隆起-480x600.png)
もうひとつ患者さまが気にされていたのが、笑ったときに口元横に目立つ骨隆起(骨のふくらみ)でした。
歯冠長延長術と同時に、骨隆起の調整も行っています。
術前は左右ともにふくらみがはっきり見えていましたが、術後は口元のラインがなめらかになり、スッキリとした印象になっています。
治療前後の比較(口腔内)
治療前後比較口腔内-480x600.png)
歯冠長延長術前後の比較になります。治療後は歯が長くなるだけでなく、歯茎に輪郭が丸みが出ることで柔らかい印象に変わりました。
また、ご覧いただきたいのが、傷跡が全く分からず、綺麗に治っているのが分かります。もちろん傷口の治り方には個人差がありますが、当院の歯冠長延長術は、治癒後は他の歯科医師が見ても歯冠長延長術をしたかどうかは分かりません。
当院の歯冠長延長術は、ミリ単位で歯の長さを調整でき後戻りがなく、確実に見える歯茎の量を減らすことができます。
「麻酔が全く痛くなくて驚きました」
今回の症例で印象的だったのが、治療後に患者さまからいただいたお言葉です。
「麻酔が全く痛くなくて、本当にびっくりしました」
「初めての麻酔だったので不安でしたが、安心して受けられました」
歯科衛生士という“治療を知っている立場”の方からこのように感じていただけたことは、私たちにとっても大きな励みでした。
当院では、麻酔時の痛みをできる限り軽減するために、
・極細の注射針の使用
・表面麻酔の併用
・注入速度や温度への配慮
・圧のコントロール
など、細かな部分まで意識して麻酔を行っています。
「ガミースマイル治療は怖そう」「外科処置が不安」と感じている方にこそ、知っていただきたいポイントです。
同業者の方にも選ばれるガミースマイル治療を目指して
今回の患者さまのように、
歯科衛生士さん・歯科医師の方など、医療従事者の方がご相談に来られるケースも少なくありません。
それは
「仕上がりの自然さ」
「説明の丁寧さ」
「痛みへの配慮」
を重視して治療を行ってきた結果だと考えています。
ガミースマイルでお悩みの方、
治療に不安がある方、
麻酔が怖くて一歩踏み出せない方も、
どうぞお気軽にご相談ください。
| 年代・性別 | 20代女性 |
| 主訴 | 歯が短い、ガミースマイルを治したい。骨隆起も取りたい |
| 治療内容 | 歯冠長延長術・骨隆起除去 |
| 費用 | 22万(税込)・16.5万(税込) |
| 期間 | 治療回数1回(抜糸は別日に必要) |
| リスク・副作用 | しっかりとした診査診断ができていないと正しい治療効果が得られないことがあります。一時的に痛みや腫れを伴うことがあります。 |
※当院では、未成年のガミースマイル治療は親御様のご同意も頂いております。
ガミースマイルでお困りの方は、是非一度ご相談下さい。
ガミースマイルセンター専門サイトはこちら
YASU DENTAL CLINIC
〒543-0074
大阪府大阪市天王寺区六万体町5ー18
大阪メトロ谷町線 四天王寺前夕陽ヶ丘駅3番出口直結
監修者情報

松井 泰隆 YASU DENTAL CLINIC 院長
東京歯科大学を卒業後、京都大学医学部附属病院で口腔外科を学び、その後審美歯科やインプラント治療を行う医療法人に勤務し分院長などを歴任。







